Elsa Zotta

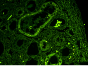
Megalina (microscopia de epifluorescencia)

Megalina (microscopia de epifluorescencia)




1. Silberstein C., Kierbel A., Amodeo G., Zotta E., Bigi F., Berkowski D., and Ibarra C Functional characterization and localization of AQP3 in the human colon. . Braz J Med Biol Res 32:1303-1313. 1999
2. Berkowski D, Zotta E, Bumaschny E, Silberstein C, Ibarra C Tratamiento de heridas con gasa colagenada.. Rev Med del Hospital Israelita 13: 31-38. 1999
3. Fiorito P. Burgos J Miyakawa MF, Rivas M, Chillemi G, .Berkowski D., Zotta E., Silberstein C., and Ibarra C Effect of shiga toxin 2 (Stx2) on water and ion transport in human colon in vitro.. Dig Dis Sci 2000 Mar; 45 (3): 480-6. 2000
4. Gonzalez Perrett Silvia, Keetae Kim, Ibarra Cristina, Damiano Alicia, Zotta Elsa, Batelli Marisa, Harris Peter, Reisin Ignacio, Arnaout Amin, Cantiello Horacio Polycystin-2 the protein mutated in autosomal dominant polycystic kidney disease (ADPKD) is a Ca2+ permeable non selective cation channel. . PNAS 98: 1182- 1187. 2001
5. Damiano Alicia, Zotta Elsa, Goldstein Jorge, Reisin Ignacio, Ibarra Cristina Water channel proteins AQP3 and AQP 9 are present in syncytiotrophoblast of human term placenta.. Placenta., 22:776-781. 2001
6. YA Assef, AE Damiano, E Zotta, C Ibarra , BA Kotsias CFTR in K562 human leukemia cells. Am J Physiol Cell Physiol; 285: C480-C488. 2003
7. Silberstein C., Zotta E, Ripoche P, Ibarra C .Characterization of urea transport in Bufo Arenarum oocytes. J. Exp. Zoology. Jul 1; 298A (1): 10-5. 2003
8. Pistone Creydt V, Fernandez Miyakawa M, Martín F, Zotta E, Silberstein C and Ibarra C Shiga toxin 2B subunit inhibit net fluid absorption in human colon and elicits fluid accumulation in rat colon loops.. Braz J Med Biol Res 37(6):799-808. 2004
9. Pistone Creydt, V; Nuñez, P; Zotta, E; Ibarra, C Efecto citotóxico de la toxina Shiga tipo 2 y su subunidad B en células epiteliales tubulares renales humanas en cultivo.. Medicina (Buenos Aires) 65: 147-150. 2005
10. Pistone Creydt, V; Silberstein, C; Zotta, E; Ibarra, C Cytotoxic effect of Shiga Toxin-2 holotoxin and its B subunit on human renal tubular epithelial cells. Microbes Infect. 2006 Feb;8 (2):410-9.
11. del Monaco S, Assef Y, Damiano A, Zotta E, Ibarra C, Kotsias BA Characterization of the epithelial sodium channel in human preeclampsia syncytiotrophoblast.. Medicina (B Aires). 2006; 66(1):31-5.
12. Alicia E Damiano, Elsa Zotta, Cristina Ibarra. Functional and molecular expression of Aqp9 channel and UT-A transporter in normal and preeclamptic human placenta. Placenta. 2006 NovDec;27(11-12):1073-81.
13. Creydt V, Núñez P, Bóccoli J, Silberstein C, Zotta E, Goldstein J, Ibarra C. Papel de la toxina Shiga en el Síndrome Urémico Hemolítico. Pistone Medicina (Buenos Aires) 2006, 66 (Supl. III): 11-15.
14. Zotta E, Levy Yeyati N Nuevos conceptos sobre el transporte de urea por difusión facilitada. Revista de Nefrología, Diálisis y Transplante 27(2): 77-84 2007
15. Zotta E, Lago N, Ochoa F, Repetto HA, Ibarra C. Development of an experimental hemolytic uremic syndrome in rats. Pediatr Nephrol. 23(4):559-67 2008
16. Zotta E; Ochoa F; Damiano A, Tironi Farinati C, Silberstein C; Levy Yeyati N; Ibarra C. Pars recta expression of the UT-A transporter in 5/6 nephrectomized rats. J Nephrol 21(6):947-58 2008
17. Ibarra C, Goldstein J, Silberstein C, Zotta E, Belardo M, Repetto HA. Síndrome Urémico Hemolítico inducido por Escherichia coli enterohemorrágica. Arch Argent Pediatr; 106(5):435-442 / 435; 2008
18. Zotta E, Ochoa F, Levy Yeyati N, Ibarra C. El manejo de la urea y su mecanismo de adaptación durante la enfermedad renal. Nefrología, Diálisis y Trasplante 29(1). 2009
19. Cárdenas MG, Blanck VC, Zotta E, Marder NM, Roguin LP Induction of apoptosis in vitro and in vivo effects of a synthetic nitroflavone derivative on murine mammary adenocarcinoma cells. Int. J. Cancer: 125: 222–228. 2009
20. Burdet J, Zotta E, Franchi A, Ibarra C. Intraperitoneal administration of Shiga Toxin type 2 in rats in the late stage of pregnancy produces premature delivery of dead fetuses Placenta 30: 491–496. 2009
21. Castro-Parodi M, Levi L, Dietrich V, Zotta E, Damiano AE CFTR may modulate AQP9 functionality in preeclamptic placentas. Placenta 1–7 2009
1- Caracterización de la acción citotóxica de Stx2B sobre la absorción de iones y agua en colon humano. Levi L.; Pistone Creygt V.; Zotta E.; Ibarra C. Póster Congreso Conjunto de Sociedades Biomédicas (SAIC, SAI, SAFE, SAB, SAB, SAN SAFIS). Mar del Plata, Argentina. 2004
2- Detección de proteínas relacionadas con el transporte de sodio en una línea celular de coriocarcinoma humano (BEWO). Del Mónaco S.; Damiano A.; Zotta E.; Ibarra C.; Kotsias B. Póster Congreso Conjunto de Sociedades Biomédicas (SAIC, SAI, SAFE, SAB, SAB, SAN SAFIS). Mar del Plata, Argentina. 2004
3- Importancia del receptor Gb3 en la acción de Stx2 sobre el epitelio intestinal. Núñez P.; Pistone Creydt V.; Bikini M.; Zotta E.; Ibarra C Póster Congreso Conjunto de Sociedades Biomédicas (SAIC, SAI, SAFE, SAB, SAB, SAN SAFIS). Mar del Plata, Argentina. 2004
4- Efecto citotóxico de la toxina Shiga tipo 2 y su subunidad B en células epiteliales tubulares renales humanas en cultivo. Pistone Creydt V.; Núñez P.; Zotta E.; Ibarra C. Presentación oral en la mesa interdisciplinaria, premio Cherny, de la Sociedad Argentina de Investigaciones Clínicas. Congreso Conjunto de Sociedades Biomédicas (SAIC, SAI, SAFE, SAB, SAB, SAN SAFIS). Mar del Plata, Argentina. 2004
5- Detección de proteínas relacionadas con el transporte de sodio en células BeWo, modelo de sinciciotrofoblasto de placenta humana. del Mónaco, S; Damiano, A; Zotta, E; Ibarra, C; Kotsias, B. III Jornadas Científicas del Instituto de Investigaciones Médicas Alfredo Lanari. Buenos Aires, Argentina. 200409
6- Desarrollo de un modelo experimental de sindrome uremico hemolitico (SUH) en ratas inoculadas con toxina Shiga tipo 2. Ochoa F, García Jurado S, Isern E, Repetto H, Ibarra C, Zotta E. L Reunión de la Sociedad Argentina de Investigación Clínica. Mar del Plata. Medicina Vol. 65 (sup. II) pag 154 .2005
7- Inducción de apoptosis in vitro y acción antitumoral in vivo de la 2´-nitroflavona. Cárdenas M, Blank V, Zotta E, Marder M, Roguin Reunión de la Sociedad Argentina de Investigación Clínica. Mar del Plata. Medicina Vol. 65 (sup. II) 2006
8- Acción citotóxica de la toxina Shiga tipo 2 sobre cultivos primarios de células endoteliales de cordón umbilical humano. E Gerhardt, E Zotta, C Silberstein, C Ibarra Reunión de la Sociedad Argentina de Investigación Clínica. Mar del Plata. 2007
9- Aumento de la infectividad en el raton de Escherichia coli O157:H7 de origen humano luego del pasaje por el tracto gastrointestinal murino. Fernandez Brando RJ, Miliwebsky E, Betancor L, Baschkier A, Ramos MV, Zotta E, Rivas M, Palermo MS. Congreso Argentino de Microbilogía. Códoba 2007
10. Fisiopatología de las nefronas remanentes. Federico Ochoa, Gisela Oltra, Elsa Zotta. IV Congreso Nacional de Residentes en Nefrología y II Encuentro Nacional de Médicos en Formación en Nefrología. Buenos Aires. 2008
1. UT-A expression in normal and preeclamptic placenta. Damiano AE, Zotta E, Ibarra C. Póster. Int. Symposium on Membrane Transport and Transporters. Selwyn College Cambridge, 2004
2. Epithelial sodium channel in the human syncytiotrophoblast Del Mónaco S, Assef Y, Damiano A, Zotta E, Ibarra C, Kotsias B..II LatiAmerican Symposium Materno-Fetal Interaction & Placenta: From Basic to Clinical Research. Santiago- Chile. 6-9 Noviembre 2005. Placenta 27: A7, 2006
3. Functional expression of aquaporins in fetal membranes from human term placenta. Damiano A, Levi L, Zotta E, Ibarra C. II LatiAmerican Symposium Materno-Fetal Interaction & Placenta: From Basic to Clinical Research. Santiago- Chile. 6-9 Noviembre 2005. Placenta 27: A11, 2006.
4. Development of Hemolytic Uremic Syndrome (HUS) model in rats. Elsa Zotta, Federico Ochoa, Horacio A Repetto, Cristina Ibarra. 6 International Symposium of Shiga Toxin (Verocytotoxin) producing Escherichia coli infections. Melbourne, Australia. 2006
5. Síndrome Urémico Hemolítico en ratas. Federico Ochoa, Néstor Lago, Claudio Mirabelli, Cristina Ibarra, Elsa Zotta. XXII Congreso Latinoamericano y I Congreso Ibero-Americano de Ciencias Fisiológicas. Buenos Aires. Argentina. 2006
6. Mechanism of antitumor action of a flavone nitroderivative. Effect on a murine mammary adenocarcinoma. Cárdenas, Mariano Gonzalo; Blank, Viviana Claudia; Zotta Elsa; Marder, Mariel; Roguin, Leonor Patricia. I Reunión Latinoamericana de Química Medicinal. Montevideo, Uruguay. 2007 7. Alteration in the epithelial markers present in renal tubules from a rat model of Hemolytic Uremic Syndrome (HUS). Federico Ochoa, Claudio Mirabelli, Néstor Lago, Cristina Ibarra, Elsa Zotta.
7 World Congress of Nephrology. Rio de Janeiro, Brazil. 2007
8. Cytotoxic effects of Shiga toxin type 2 in human placenta. J Burdet, E Zotta, MS Miguel, A Damiano and C Ibarra. III Lati-American Symposium Materno-Fetal Interaction & Placenta: From Basic to Clinical Research. Los Cocos, Córdoba, Argentina. 2007.
9. Alteraciones de las células epiteliales tubulares y glomerulares en un modelo de síndrome Urémico Hemolítico (SUH) en ratas Lago N, Ochoa F, Gerhardt E, Tironi Farinati C, Oltra G, Ibarra C, Zotta E. VIII Congreso de la Asociación Latinoamericana de Nefrología Pediátrica. Buenos Aires, Argentina 2008
10. Induction of apoptosis in vitro and in vivo effects of a synthetic nitroflavone derivative on murine mammary adenocarcinoma cells. Cárdenas MG, Blanck VC, Zotta E, Marder NM, Roguin LP. 31st Annual San Antomio Breast Cancer Symposium. San Antonio, Texas, USA. 2008
11. Epithelial to mesenchymal transition and renal protein handling in a rat model of Hemolytic Uremic Syndrome. Ochoa F, Lago N, Oltra G, Gerhardt E, Tironi Farinati C, Bruno A, Ibarra C, Zotta E. 7th International symposium on Shiga Toxin (Verocyotoxin)-producing Escherichia coli infection. Buenos Aires. 2009
Jorge Luis Farjat